Collies vom Bopparder Hamm
Collies vom Bopparder Hamm

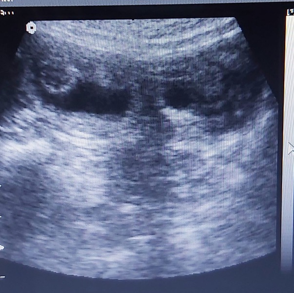
Mit Freude geben wir die Trächtigkeit unserer Bea bekannt, die der Ultraschall heute bestätigte.  

 

So alles weiterhin gut verläuft,  erwarten wir Mitte Februar vielversprechende  Welpen in zw u. tricolor von

        Bea  v. Bopparder Hamm   &      Jellow   (Rainbows Dreamer)

Bea ist die Vollschwester  von  Brandy  und der im IGP Sport so erfolgreichen  Miami (Brenda).

 

 

 

Diese  äusserst  spannnende Verpaarung verbindet unsere Retro Collielinie mit erlesenen amerikanischen Importcollies.

Jellow überzeugte uns mit seinem sicheren , freundlichen und coolen Auftreten und  sieht zudem umwerfend aus.

Demzufolge erwarten wir  gesunde Welpen vom alten ursprünglichen Collietyp.

die Gesundheitswerte von Bea und Jellow sind jeweils auf ihren eigenen Seiten einzusehen. 

16. Januar  2026

update:  Wurfplanung

Bea

neue Ära = neue Links

--------------------------------

News  Miamis Erfolg

unser Retrocollie

 

 

 

 

Druckversion | Sitemap
© Verena Schaube